Anuncios

Acumulación de pus en la cavidad pleural: características y tratamientos

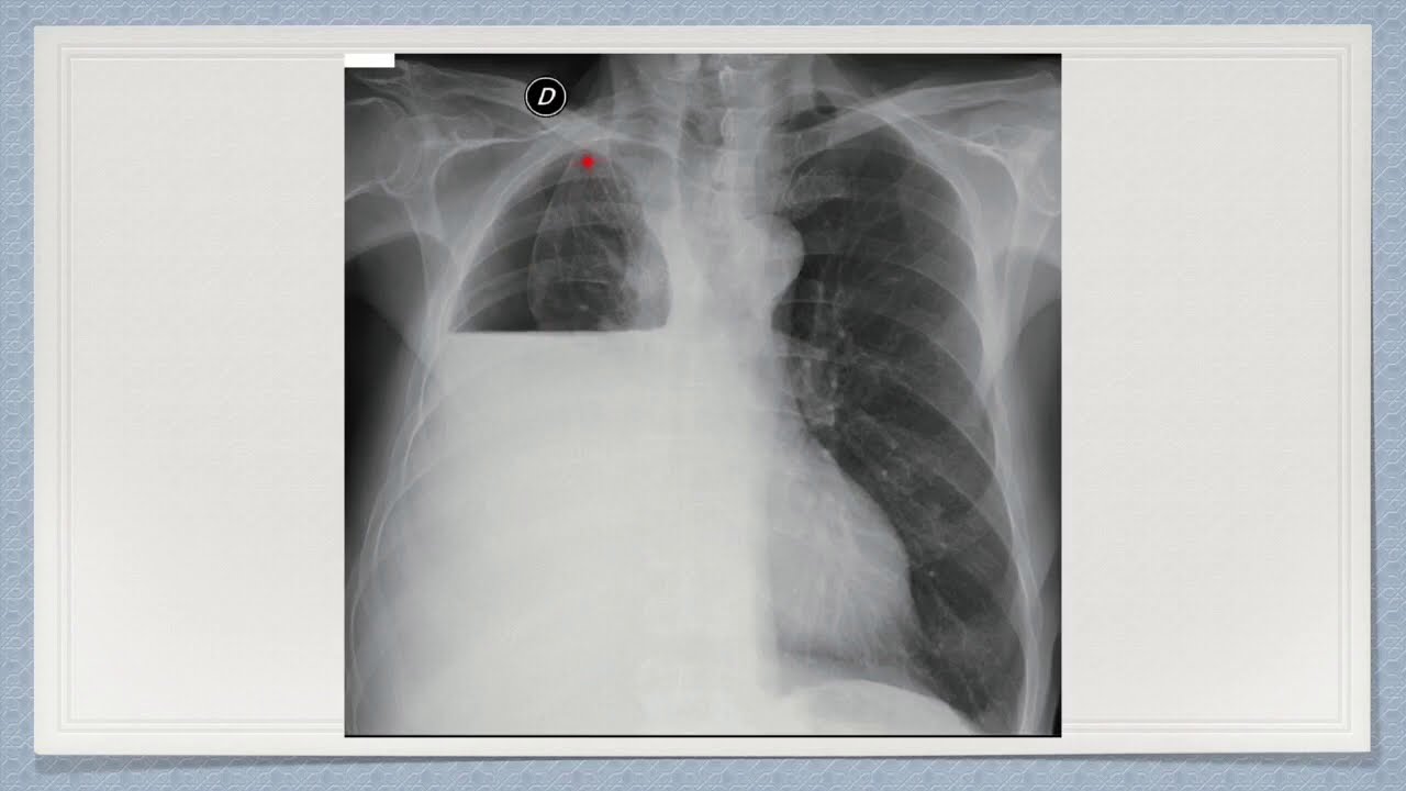
¿Qué es la acumulación de pus en la cavidad pleural?

La acumulación de pus en la cavidad pleural, también conocida como empiema pleural, es una condición médica grave caracterizada por la acumulación de pus, un líquido infectado, en el espacio entre las membranas que recubren los pulmones y la pared torácica. Esta acumulación puede ser causada por infecciones bacterianas, traumas torácicos o enfermedades subyacentes.

Anuncios

Factores de riesgo para la acumulación de pus en la cavidad pleural

Distintos factores pueden aumentar la susceptibilidad de una persona a desarrollar empiema pleural. Entre ellos se incluyen enfermedades respiratorias crónicas, diabetes, tabaquismo, cirugías torácicas previas, sistemas inmunológicos debilitados, y más. Es importante conocer estos factores para tomar medidas preventivas adecuadas.

¿Cuáles son los síntomas de la acumulación de pus en la cavidad pleural?

Los síntomas de la acumulación de pus en la cavidad pleural pueden variar, pero comúnmente incluyen fiebre, dolor torácico intenso, dificultad para respirar, tos persistente con expectoración de color amarillo o verdoso, y malestar general. Si experimentas alguno de estos síntomas, es crucial buscar atención médica inmediata.

Tratamientos para la acumulación de pus en la cavidad pleural

El tratamiento para el empiema pleural generalmente implica drenaje del pus acumulado mediante procedimientos como toracocentesis o colocación de tubos torácicos para drenaje continuo. Además, se recetarán antibióticos para tratar la infección subyacente. En casos graves, puede ser necesaria la cirugía para limpiar la cavidad pleural.

Importancia de buscar atención médica temprana

Es fundamental buscar atención médica tan pronto como se sospeche de una acumulación de pus en la cavidad pleural, ya que la enfermedad puede progresar rápidamente y causar complicaciones graves como sepsis e insuficiencia respiratoria. El tratamiento oportuno mejora significativamente el pronóstico del paciente.

Anuncios


Anuncios

Evolución y recuperación de la acumulación de pus en la cavidad pleural

La recuperación de un empiema pleural depende de diversos factores, incluyendo la causa subyacente, la rapidez con la que se administra el tratamiento, y la condición general del paciente. Con el manejo adecuado, muchos pacientes pueden recuperarse por completo, aunque a veces se requiere un seguimiento prolongado.

Prevención de la acumulación de pus en la cavidad pleural

Para prevenir la acumulación de pus en la cavidad pleural, es importante mantener un estilo de vida saludable, evitar el tabaquismo, vacunarse contra enfermedades infecciosas que puedan desencadenar la condición, y buscar tratamiento adecuado para enfermedades respiratorias crónicas. La prevención siempre es clave en la salud pulmonar.

En resumen, la acumulación de pus en la cavidad pleural es una condición seria que requiere atención médica inmediata. Con un diagnóstico temprano y un tratamiento adecuado, es posible recuperarse por completo de esta enfermedad. Mantenerse informado sobre los síntomas y factores de riesgo es crucial para preservar la salud pulmonar.

¿Puede el empiema pleural ser mortal?

Aunque el empiema pleural puede ser potencialmente mortal si no se trata, la mayoría de los pacientes se recuperan con el tratamiento adecuado y la atención médica oportuna.

¿Se puede prevenir la acumulación de pus en la cavidad pleural?

Si bien no siempre es posible prevenir por completo la acumulación de pus en la cavidad pleural, adoptar hábitos de vida saludables y buscar tratamiento temprano para infecciones respiratorias puede reducir el riesgo de desarrollar esta condición.